Author: Dr Ngian Kite Seng & Dr Tan Chong Tien & Dr James Tan
Date: October 2010 Issue
Etiology
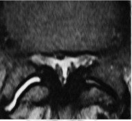
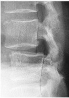
Spinal canal stenosis may be congenital or acquired. Congenital spinal canal stenosis is associated with achondroplasia.
Acquired spinal canal stenosis is due to degenerative changes resulting in disc bulging, facet joint hypertrophy and thickening of ligament flavum. It is common beyond the age of 50. Spinal canal stenosis is also seen in spondylolisthesis and degenerative scoliosis.

Clinic Presentation
Typically patient complaints of low back pain radiating down to the thighs and legs associated with standing and walking. It eases off with sitting. This is termed neurogenic claudication and is classical of spinal canal stenosis. In patient with spondylolisthesis, low back pain can be quite severe because of instability. The nature history of spinal canal stenosis is gradual progression with worsening of symptom with time.
Treatment
1. Conservative Treatment
Early stage spinal canal stenosis can be treated conservatively if the symptom is not severe. Life style adaptation, medication, physiotherapy and epidural steroid injections are the common modalities.
2. Surgical Treatment
If the symptoms are severe and disabling, or conservative treatment fails, then surgery can be considered to improve results.
a) Classical Decompression
The fundamental in surgery for spinal canal stenosis is good central and root canal decompression and pre-empting instability by fusion with or without pedicle screw instrumentation.
b) Minimally Invasive Spinal Decompression and Instrumentation/Fusion
If the stenosis is predominantly of the root canal, percutaneous pedicle screw instrumentation/fusion and limited open root canal decompression can be employed to limit the extent of muscle dissection. Faster recovery is seen with this surgery.
c) Interspinous Spacer
This new procedure involves implanting a spacer between the adjacent spinous processes of the stenotic segment. Distraction of the adjacent spinous processes enlarges the root canal and this may be adequate to relieve the nerve root compression. The procedure can be done percutaneously or through a small open incision. It is effective for patients with predominantly root canal stenosis but is unlikely to benefit those with severe global type of stenosis.




Summary
Spinal canal stenosis is a common condition affecting individuals in their fifties and above. Most patients can be managed conservatively in the early stage. Surgery for severe stenosis is a reliable solution that yields good results.