Author: Dr Leslie Leong
Date: August 2011 Issue
Welcome to this issue of Ortho Insider, Osteoarthritis is the single most common form of arthritis in Singapore. As a leading cause of disability and a reduction in daily function, this condition is set to become more pervasive issue as our population ages.
Joint replacement surgery is a viable treatment option in the advanced stages of OA. Our featured article focuses on recent trends and innovations in this area. Happy reading!
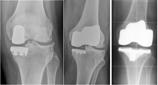
Total Knee Replacement (TKR) has been around for a few decades. It has improved the lives of many patients crippled with disabling arthritis. However, like any technological advancement, it is not without its drawbacks. Traditionally, it has been taught that joint replacement should be performed as a last resort, in patients over 60 years of age and are sedentary in nature.
This was often due to the polyethylene (PE) insert having a user life of 10-15 years, and the (in)accuracy of components inserted.


In the past, polyethylene (PE) inserts were sterilised in air and packaged in sterile boxes that also contained air. These inserts often sat on shelves for years before being used, leading to oxidation, which made them brittle. Today, PE inserts are sterilised and stored in oxygen-free environments, which has significantly extended both their shelf life and in vivo durability.
Three recent innovations have improved the longevity of total knee replacements (TKR). Radiation and heat are now used to cross-link PE molecules, which reduces the presence of free radicals, making the material more resistant to wear. However, this process also slightly increases the brittleness of the inserts. This technology has been widely used in hip replacements for nearly a decade, but has only recently been applied to knees, as the wear conditions in knees are more complex and demanding than those in hips. Several companies now offer this improved product for knee replacements. (Eg, Prolong, X3)
The second innovation is PE doped with vitamin E. Vitamin E, a well known antioxidant, binds any remnant free radicals and reduces oxidation. This then decreases PE wear. Currently, only one company has combined both vitamin E and cross-linking (E-Poly).
The third innovation has been to improve the hardness and smoothness of the femoral component to reduce PE wear. One such product, Oxinium, is made from zirconium. Using high heat, temperature and oxygen, the surface transforms into a ceramic-like surface with increased hardness and smoothness. Combined with crosslinked PE, in vitro wear has been greatly reduced, even when tested against a roughened femoral component. For patients aged 45-60, this is a game-changer, and their prosthesis may now last a lifetime. FDA has approved this TKR combination (Verilast) to be marketed with a 30 year lifespan, the 1st in industry.

Mobile bearing knee prostheses (where the insert pivots on the tibia baseplate) have been around for 2 decades and were touted to improve mobility and reduce PE wear. However, most studies have not found any difference in long term survivorship compared to standard fixed bearing knees. Hence the extra cost may not be justified.

Having the best materials is of little benefit if they are implanted poorly. To improve implant position, computer assisted navigation was invented to provide instant feedback on the bone cuts, implant position and limb alignment. Navigation itself is not without its problems, chief of which is “garbage in, garbage out” when acquiring the reference points and a small risk of fractures from the pins used to mount the navigation trackers. An experienced surgeon however can achieve equally good results if he routinely double checks his cuts and soft tissue balancing.
To overcome these issues, shorten operating time and assist in minimally invasive surgery (now done routinely), patient specific/ matched instrumentation was recently invented.
Essentially, the lower limb and knee is imaged and the results sent overseas. These are digitised and a custom made jig is fashioned to fit exactly over the knee. This is shipped back to the surgeon, who will use it to make the bone cuts more precisely, consistently. This technology is likely to benefit younger patients much more than elderly, as PE wear will manifest itself only after 10-15 years.
Options to TKR include unicondylar or bicompartment knee replacement. It is possible now to replace a specific compartment of the knee, rather than the entire knee. This procedure can be viewed as a “pre-TKR surgery”. With cruciate preservation and less surgery, recovery is faster. However, patients qualifying for these implants are not common, as they need to be treated earlier rather than wait for all compartments to be involved.

In summary, TKR has undergone a sea-change over the past 5 years. Hip and Knee surgeons now have a wider armamentarium to tackle knee arthritis and provide a longer lasting implant.
More about the Author:
Dr. Leslie Leong was awarded the Ministry of Health Manpower Development Programme (HMDP) Scholarship to train at Toronto Western Hospital in Adult Reconstruction in Hip and Knee Arthroplasty. He established the Adult Reconstruction Service in Changi General Hospital and pioneered the use of minimally invasive surgery in hip and knee arthroplasty, computer assisted surgery, alternative bearings in hip and knee replacement, various forms of partial knee replacement, revision arthroplasty and multi modal pain management.