Author: Dr Ngian Kite Seng & Dr Tan Chong Tien & Dr James Tan
Date: March 2011 Issue
Thank you to all who attended our recent seminar on current treatment options for prolapsed discs. We will keep all updated in our next seminar.
Thoracic pain is unusual as the thoracic spine does not have much mobility and hence does not undergo the same degeneration as the cervical or lumbar spine. Hence the need to be vigilant with these patients. We illustrate this with an interesting case on this issue. If you prefer to receive our newsletter via email, please send your request to siska@dentistmelaka.com
Case Study
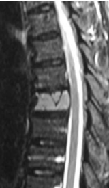
This 43-year-old Caucasian male first presented to a doctor with a complaint of mild thoracic back pain with radiation round the left chest. He had no neurological deficits. X Rays done showed any abnormalities. MRI showed a post contract enhancement in the left half of the T7 vertebra. A CAT guided needle biopsy done was not conclusive. He was then referred for further management, about 5 months after he noticed thoracic backache. Pain was described as a discomfort, occasionally sharp and radiating around the mid left chest. He had no neurological deficits and no myelopathy.

Investigations
A repeat MRI showed post contrast enhancement of most of T7 vertebra. There was no cord compression.
PET Scan showed an isolated hot T7 vertebra.
Blood profile were normal.
Surgery
T7 corpectomy was done through a left sided thoracotomy. The resected vertebra was reconstructed using rib graft, a cage and a screw rods construct. Physical Findings
Histology
Histology was of Plasma Dyscrasia.
Final evaluation
Bone marrow biopsy was negative and further blood tests for systemic disease was negative.
Final Diagnosis
Diagnosis was of Plasmacytoma
Final Treatment
Local Radiotherapy was given. No chemotherapy was required.
Progress
The patient did very well. Radiating pain in the left chest from radiculopathy is resolved. He will require follow up for possible systemic disease in a percentage of cases.
Discussion
Pain in the thoracic spine from degenerative disease is less common than in the cervical and lumbar spine. These may be from spondylosis or thoracic disc prolapse.
If pain in the thoracic spine is persistent, further evaluation is indicated. In older patients and those with known cancer, osteoporotic or pathological fractures are common causes.
In my own experience, I have had patients in the middle age group with persistent thoracic backache with or without radiculopathy with significant diseases. These include thoracic discitis, primary tumors such as in this patient and neuromas. There was one patient who was presented with radiating chest pain for several weeks who had a primary lung tumor sitting at the posterior angle of the rib causing radicular pain.


