Author: Dr Ngian Kite Seng & Dr Tan Chong Tien & Dr James Tan
Date: September 2011 Issue
Here is our September issue on a common problem of lumbar canal stenosis. This usually presents with pain and claudication. Many treatment options are available; from minimally invasive injection techniques to small implants (interspinous process spacers) to surgical decompression and fusion.
PRESENTATION
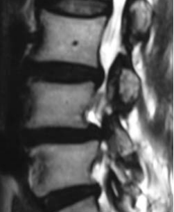
This is a 56 year old housewife with a long history of low backache and then leg pain. Leg pain and numbness had become increasingly disabling for about a year before she decided on surgery. She had L5 root symptoms and later L4 and S1 symptoms, more on the left. There were no neurological deficits at rest.

IMAGING STUDIES
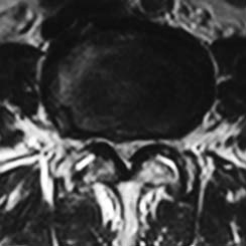
Has imaging studies showed grade 1 degenerative spondylolisthesis L45 with moderately severe subarticular and subarticular stenosis at L5S1 and L34.

SURGERY
Decompression of L34, L45 and L5S1 were done. L45 through a partial laminectomy of L4 and L34, L5S1 through limited interlaminar approach. L45 was stabilsed with rigid fixation and fusion using pedicle screws, L34 with a dynamic interspinous devices and L5S1 was decompressed only.

DISCUSSION
This patient illustrates one of many patterns in patients presenting with lumbar spinal canal stenosis and the available options in surgical treatment. Decompression is necessary to relieve nerve compression. Additional procedures often aim to treat back pain or prevent further deterioration and recurrence of symptoms. The commoner options include fusion and soft stabilization. To treat back pain and to prevent deterioration of the spondylolisthesis, L45 fusion was done. At L34, an interspinous device using silicone-based implant allows assisted motion and helps to maintain an open foraminal canal. At L5S1, the small sacral spinous process makes the interspinous device interspinous device ineffective and as fusion was not yet needed, only a decompression was done. DIAM (Medtronics)



In this case, the interspinous implant used was a DIAM (Device for Interspinous Assisted Motion). Such devices are designed as an alternative to fusion in sutable cases. The DIAM is a silicone based implant inserted between the spinous processes in to allow assisted motion of facets, unloading of the disc and maintain the patency of the intervertebral foramina. The device is kept in place by the retained supraspinous ligament and anchors to the spinous processes.
