Author: Dr Ngian Kite Seng & Dr Tan Chong Tien & Dr James Tan
Date: September 2010 Issue
Original Blog Link: link
Presentation
This 55-year-old man presented with progressive upper and lower limb numbness and gait imbalance over 3 years. When he eventually decided on surgery, he needed assistance with walking and could not manage chopsticks, he had no urinary or bowel compromise.
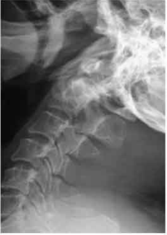
Anterior arch of C1 subluxes anteriorly narrowing the space available for cord. This is seen on MRI scan. The space available for cord widens on neck extension.Investigations
Investigations showed C1-C2 subluxation from Os Odontoid Eum. This was reducible on neck extensions.

Treatment
Surgery was indicated to decompress the spinal cold and stabilize the C1-C2 level.
Surgery
C1-C2 was reducible on extension and held in position on the operating table. Laminectomy was not required in this situation.
C1-C2 was maintained in extension with C1-C2 trans articular screw fixation with additional wiring of the posterior arch of C1 to C2 and bone grafting was done.
Results
On follow up, he gradually recovered his function and is now able to use chopsticks and has gone back to drive a lorry.
What’s new in C1-C2 fixation?
C1-C2 fixation and fusion is technically challenging. In the past, C1-C2 fusion was done with wires and boen graft only. Fusion rates are not ideal.
To improve fusion rates, patients may need to be on traction in bed or to wear a bulky halo vest.
C1-C2 screw fixation though technically demanding, allow us to do away with such external stabilization and achieve good stability and fusion rates. Post surgery, patients need only wear a cervical brace for several weeks.



