Author: Dr Ngian Kite Seng & Dr Tan Chong Tien & Dr James Tan
Date: December 2010 Issue
Original Blog Link: link
This month, we will feature an interesting and unusual case – we report on a patient with bilateral footdrop caused by lumbar canal pathology.
Case Study
Mr A is a 69 year old who presented with a history of weakness in the legs and inability to walk without support for 1 day. He developed this acutely the day before after getting up from a pool following an uneventful swim. Clinical examination showed bilateral foot drop. Dorsiflexion of both feet were grade 2/5. There was no bladder or bowel symptoms.
Investigations
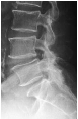
The X Rays of the lumbosacral spine showed lumbar spondylosis. There was no spondylolysis or spondylolisthesis.

Neurologist Assessment
As this is an uncommon presentation, a neurological assessment was done. EMG showed lumbosacral plexopathy.
The diagnosis was of acute bilateral footdrop from L5 root compression due to spinal canal stenosis.
Treatment
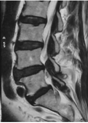
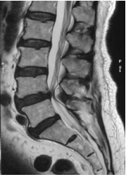
As the foot drop was significant and the MRI finding was of severe stenosis, surgical decompression was carried out the same day of consultation, which is the day following the foot drop.
Findings at surgery were severe central and subarticular stenosis at L45 with hyperrophic facet and dural cyst. Decompression laminectomy followed by pedicle screws instrumentation and interbody fusion was carried out.
Results
Mr A did very well and dorsiflexion of the foot improved quickly to grade 4+/5 the next day. He graduated from walking with support to independent walking. He was also found to have an unrelated compression fracture of T6 (old) and T8 (recent) which were treated conservatively.
Discussion
Mr. A’s presentation of acute bilateral foot drop from lumbar spinal canal stenosis is uncommon. A search of the literature revealed only a few case reports. Here, quick diagnosis and early decompression has resulted in an excellent outcome.
Literature Review
1 Br J Neurosurg. 2006 Apr;20(2):87-9. Lumbar canal stenosis presenting with acute bilateral foot drop. Oluigbo CO, Qadri SR, Dardis R, Choksey MS. Department of Neurosurgery, Walsgrave Hospital, Coventry, UK. chimaoluigbo@yahoo.com


