Author: Dr Ngian Kite Seng & Dr Tan Chong Tien & Dr James Tan
Date: July 2011 Issue
Welcome to our July issue. This month, we would like to highlight a complication of a common spinal problem. Ankylosing Spondylitis is a chronic inflammatory condition of the entire spine and results in stiffening and bony union of the vertebrae. Extra care must be afforded to these spines as they are prone to fracture as is illustrated in this patient.
Case Study
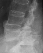
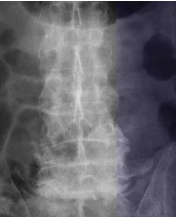
Mr O, an elderly man, was recently admitted for severe low back pain of two months duration. He had chronic low back pain on and off for many years. His pain this time was so severe that he could sit for only a short while. He could barely walk a few meters. The neurological examination was normal. X-ray of his lumbar spine revealed the feature of “’ bamboo spine’ typical of ankylosing spondylosis. There was a fracture through the ossified L5-S1 disc space which was widely opened. Flexion and extension x-ray showed there was considerable instability at the L5-S1 segment. Mr O underwent a two-stage surgery. The 1st stage was posterior L4 to S1 pedicle screw instrumentation. The 2nd stage anterior L5-S1 strut grafting with titanium mesh and fibular allografts was performed 5 days later. Post surgery, Mr O was relieved of his pain and was ambulating.

Pathology of Ankylosing Spondylitis The basic pathology of ankylosing spondylitis is inflammation followed by ossification of ligaments surrounding the spinal column. The process usually begins in the sacroiliac joint causing sacroiliitis which shows on x-ray as fizziness of sacroiliac joint. The process extends up the spine to a variable extent. At times the whole spine may be involved resulting in a completely rigid spine. The ossification of the spinal ligaments results in bone bridges across the adjacent vertebrae giving rise to the classical description of bamboo spine noted in the spinal x-ray. The ligaments surrounding the hip joints may also become ossified, resulting in stiff hips. When this occurs, patient becomes severely disabled because he will not even able to sit upright.
Complications
A. Spinal Fragility:
The rigid, immobilized vertebrae are shielded from stresses associated with spine motion and hence they become osteoporotic. A rigid osteoporotic spine is prone to fracture, much like a dry stick is prone to breakage.
B. Difficult Fracture Healing:
If a spinal fracture occurs, the bone displacement at the fracture site tends to be severe as all spine motions are concentrated at the fracture site. The excessive motion at the fracture site results in poor fracture healing. Hence the fracture in an ankylosed spine has to be treated with very rigid surgical stabilization. This usually involves two stages anterior and posterior stabilization.
C. Severe Kyphosis:
Severe kyphotic deformity can result from poor fracture healing due to excessive motion at the fracture site. There is also increased vertebral destruction due to excessive motion. The fracture may eventually heal in such a severely kyphotic position that sufferer can only look at the ground and is unable to look up when he walks. Such a situation requires complicated corrective spinal surgery to enable the patient to look level ahead.
Diagnosis and Management
The diagnosis of ankylosing spondylitis is based on the clinical history of back pain and spine stiffness, x-ray features of sacroiliitis and bamboo spine and laboratory test of positive HLAB27. Males are much more frequently affected than females. In the past, the main stay of medical treatment was non-steroidal and anti-inflammatory analgesia. The has been many new medications now available for the treatment of ankylosing spondylitis. This is not the subject of my discussion in this article. It is also important that the patients be actively stretching their spines to maintain maximal mobility.

Ankylosing spondylitis is not an uncommon inflammatory condition of the spine resulting in back pain and severe spinal stiffness. The affected spine is prone to osteoporosis and fractures easily and it heals poorly. The fractured ankylosing spine should be stabilized vigorously to ensure stability and optimize healing. Early diagnosis is important as the disease can be controlled with medications.

