Author: Dr Ngian Kite Seng & Dr Tan Chong Tien & Dr James Tan
Date: January 2011 Issue
Case Study
This 66-year-old former airline pilot fell and landed on his buttock. He became paralyzed in all four limbs immediately. He was transferred to Singapore for further treatment. Examination revealed he was paralyzed in all four limbs. The motor power of his four limbs was zero. The sensation of pain and touch was absent from the nipple line. The only sensation below that was proprioception in his right big toe.
Investigations
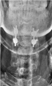
X-Ray of his cervical spine showed extensive ossification of posterior longitudinal ligament (OPLL) extending from C2 to C6 segments.

There was also presence of Diffuse Idiopathic Skeletal Hyperostosis (DISH). MRI of this cervical spine showed severe narrowing of spinal canal at C3-4 segment with cord compression and cord oedema. He was diagnosed as having severe central cord syndrome.
Treatment
Because of the presence of proprioception in his right foot, the injury is deemed to be incomplete tetraplegia which implies the potential for recovery. The surgery consisted of C3 and C4 laminectomies to decompress the spinal cord. In view of the instability, C3 and C4 lateral mass plating were also performed to provide instrumented fusion on the 5th post injury day.
Results The day following the surgery, the patient’s sensations recovered fully. Motor power also started to improve dramatically (especially the lower limbs) from grade zero to grade 2 and continued to improve over his two weeks course of hospitalization to power grade 3. He was then discharged and returned to his country for further rehabilitation.
Discussion
Central Cord Syndrome is a common type of cervical spine injury among the elderly. It is commonly sustained when elderly patients fall on their faces causing hyper-extension of cervical spine. This causes compression of the spinal cord. Usually, the upper limbs are more severely affected than the lower limbs. Complete paraplegia is uncommon. A varying extent of recovery can usually be expected though complete recovery is unlikely. When the neurological recovery is not apparent and there is evidence of cord compression, surgery to decompress the spinal cord should be performed. In this case the patient made a dramatic recovery following the surgery.


